AI BUILT FORDSOs
“I’ve been doing this for 20 years, and I believe that Overjet’s AI allows us to be more thorough by directing our attention to areas the AI has identified. Our patients feel reassured because it builds confidence and trust.”
See it in action →
Serving top DSOs
Intro
Now every clinician can operate like your top performer. Overjet's DentalOS™ equips your whole team with unmatched clinical precision, while letting you optimize care, production, and reimbursement across your entire organization.
For clinical leaders
Train new dentists with the same, objective source of truth — creating consistency across all your clinics.
For operations leaders
Easily onboard AI that is compatible with all major PMS and imaging systems and has the most robust information security protocols in the industry, including HiTrust and SOC2 Certifications.
For executive leaders
Increase production by tracking both clinic- and clinician-level performance from one place.
For dentists
Diagnose with greater consistency and accuracy, then show your patients exactly what you see.
For hygienists
Educate patients about their oral health — using color-coded annotations that they can understand.
For office managers
Make your morning huddles ultra-efficient, while streamlining claim submission and reimbursement from payers.
AI is cool.
real value is cooler.
18XAverage ROI for Dental Groups
$44Kof additional care opportunities per month
5Xfaster decisions on insurance claims
18XAverage ROI for Dental Groups
$44Kof additional care opportunities per month
5Xfaster decisions on insurance claims
MEET OVERJET’S AI PLATFORM FOR DSOs
X-Ray Analysis
DIAGNOSE AND EDUCATE PATIENTS WITH AI
Overview
Trained on millions of real cases, Overjet is the only technology cleared by the FDA to detect, outline, and quantify oral pathologies, down to a fraction of a millimeter.
Scan


All Findings
1/7Overjet's AI detects and highlights pathologies, anatomical structures, and prior restorations.

Caries
2/7Overjet is the only FDA-cleared AI that can detect and outline decay on bitewing and periapical radiographs for ages 4+.

Calculus
3/7Our AI detects suspected calculus deposits on bitewing and periapical radiographs.

Bone Levels
4/7Overjet automates the measurement of mesial and distal bone levels — from the CEJ to the crest of bone — on bitewing and periapical radiographs.

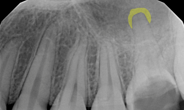
Periapical Radiolucency (PARL)
5/7Our platform is the first FDA-cleared solution that helps dentists detect and segment instances of PARL.

PULP & ENAMEL
6/7Overjet AI outlines enamel and pulp to help dentists evaluate tooth structure, educate patients, and assist clinics in comprehensive charting functions.Colorizing enamel and pulp enhances image evaluation by vividly illustrating their interrelation and aiding in comprehensive insights.

Restorations
7/7Overjet highlights past restorative treatments, like implants, crowns, and fillings.
- DSO Analytics
IMPROVE CARE AT EVERY LEVEL OF YOUR ORG
How it works
Our dashboards let you drill down into the performance of each clinic and clinician, through a powerful combination of deep integrations and AI analysis.
Why it matters
With Overjet, you’ll know exactly why your top-performing clinics are successful — and how to help your other clinics catch up.
- IRIS SMART IMAGING
THE WORLD'S SMARTEST IMAGING SOFTWARE
How it works
IRIS is a Smart Imaging system that combines all of the best features of cloud-based imaging softwares with the most clinical accurate AI analysis.
Why it matters
Standard imaging software captures images. IRIS helps you understand images. Even better, it all happens in one integrated experience, saving you time and money, while providing a better patient experience.
- Daily Patients Page
ONE SCREEN FOR YOUR MORNING HUDDLES
How it works
Our Daily Patients Page lists every patient on your schedule for the day, including their past images and diagnoses. It even offers recommendations for care, such as when a patient is due for sealants. *Not a Medical Device.
Why it matters
You shouldn’t have to go digging for each patient’s information and care history. With our AI handling the busywork, you can focus on what you do best.
- treatment dashboard
identify OPPORTUNITIES ACROSS YOUR PRACTICE
How it works
Our dashboards highlight opportunities for periodontal and restorative care — by combining our AI image analysis with patient data from your practice management system. *Not a Medical Device.
Why it matters
On average, Overjet surfaces $44,000 care opportunities every month. Now, it’s easier than ever to monitor these treatment needs for your patients.
- CLAIM SUBMISSION & REIMBURSEMENT
AUTOMATE YOUR TREATMENT CLAIMS
How it works
Overjet brings together all the information needed to submit comprehensive insurance claims, with clear annotations and precise measurements that speed up approval.
Why it matters
DSOs that use Overjet to submit claims do less manual work, see more claims approved, and get reimbursed faster.
Our north star: Patient Outcomes
Our guiding principle is patient outcomes. Collaborating with payers benefits you, but more importantly, it benefits your patients by expediting their access to care.
PROVIDERS
Overjet lets providers spend more time on patient care and reduces admin overhead, improving patient outcomes.
- 01SUBMIT CLAIMS WITH ALL THE RIGHT INFOConstruct and submit insurance claims with confidence, knowing that you have all necessary images, annotations, and narratives.
- 02ALIGN ON AN OBJECTIVE STANDARDBoth sides leverage the same patient-centric AI, creating an objective standard that prioritizes patient outcomes.
- 03FOCUS ON PREVENTATIVE CAREOverjet's AI helps providers identify opportunities for care early, leading to less invasive and more cost-effective treatments.
payers
Overjet lets payers reduce administrative costs spent reviewing claims, while creating a better member experience.
Why DSOs LOVE Overjet
GETTING STARTED IS SIMPLE
- 01
Integrate
Overjet integrates with your practice management system and imaging software.
- 02
ENRICH
Our AI enriches your patients’ data and past images, so you immediately get Overjet’s analysis on 12 months of patient imaging.
- 03
TRAIN
Overjet’s dedicated Customer Success Team provides comprehensive training, so everyone on the team is comfortable using the platform.
- 04
LAUNCH
We’ll give you everything you need to share your innovative use of AI: patient flyers, a video for your clinics’ lobbies, material for your website, social media posts, and more.
“Overjet’s AI helps our doctors make the best decisions for our patients. It improves the treatment planning process and enhances patient education, leading to higher patient acceptance.”
