Dentists live in a world of millimeters. We are trained to notice even the smallest variations: a tiny fracture line, a slight shade difference, or a marginal discrepancy in a restoration. Yet even with this level of precision, some changes are simply too subtle for the human eye to detect.
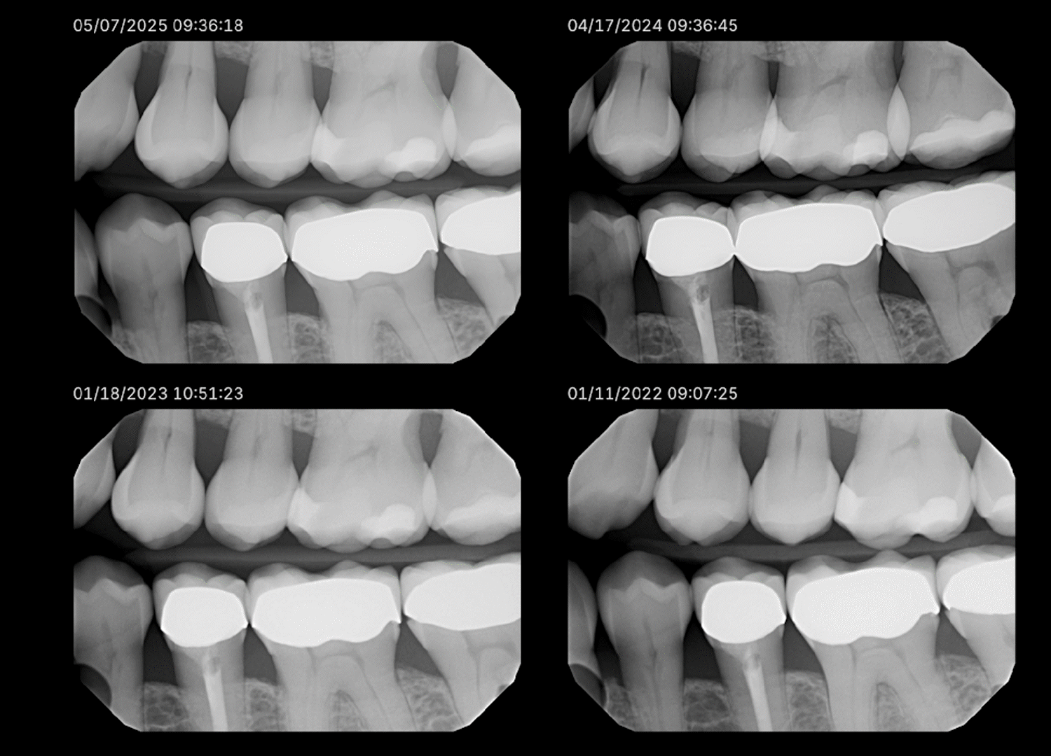
One of my longtime patients has had routine bitewing radiographs taken nearly every year. The last four years of these radiographs were analyzed through Overjet’s AI platform. When I compared one year to the next, everything appeared stable. But when I compared the first and fourth year side by side, a new story emerged. With the help of AI, I discovered she had lost about 0.5 to 0.8 millimeters of bone height. That may sound minimal, but in the world of periodontics, it signals an active process that warrants attention.
Why Even Trained Eyes Can Miss It
Even the most skilled clinician can be limited by what radiographs reveal. Slight differences in angulation, exposure, or contrast from year to year make subtle bone changes difficult to perceive. The eye is excellent at recognizing patterns but not at quantifying fractional shifts over time.
AI fills that gap. By measuring bone levels from consistent anatomical landmarks like the cementoenamel junction, AI provides precise, reproducible data that allows clinicians to track small changes with confidence. What might look “the same” visually can, through measurement, reveal a clear trend.
Gaining Perspective with AI Visualization Tools
Modern AI visualization tools such as LENS allow radiographs from different years to be viewed side by side, each displaying its respective bone measurements. This view gives clinicians and patients a clear perspective on how small, nearly invisible changes accumulate over time.
Rather than relying on memory or approximation, AI introduces a layer of objectivity. It helps us see the progression that happens quietly, one fraction of a millimeter at a time, empowering earlier and more targeted intervention.
Helping Patients Understand the ‘Why’
Perhaps the most powerful outcome of AI is how it transforms patient communication. Instead of saying, “your bone looks a little lower than before,” I can show a patient, “your bone height has decreased by 0.7 millimeters over the last four years.”
When patients can see that data for themselves, understanding replaces uncertainty. They recognize that bone loss is not static but ongoing and that early action can make a real difference.
From Subtlety to Significance
AI does not replace the clinician’s eye—it enhances it. It allows us to combine clinical judgment with objective data to detect and communicate changes that once went unseen.
Dentistry will always be about millimeters, but AI gives us the clarity to see how those millimeters change over time. With innovations like LENS, we can now show those changes withprecision and help patients take action earlier to preserve their oral health.






